952 88 00 14 

ESTÉTICA

TRATAMIENTOS

Los tratamientos de estética dental tienen como finalidad encontrar la armonía en la sonrisa del paciente. Estos tratamientos no se realizan únicamente por una cuestión estética, ya que con ellos también devolvemos en muchas ocasiones la función perdida.

 

 

 

 

            BLANQUEAMIENTO

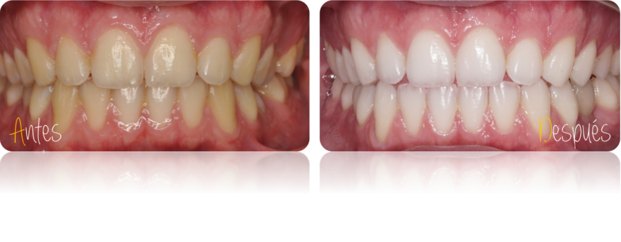
Los blanqueamientos dentales es un tratamiento conservador, se usan agentes blanqueadores de diferentes concentraciones. Siendo muy respetuosos con los tejidos del diente, por lo que no duelen y se realizan sin anestesia.

Tipos de blanqueamiento:

- Blanqueamiento con luz LED.

- Blanqueamiento con férulas en casa

- Blanqueamiento Combinado.

CARILLAS SIN TALLAR

Las carillas sin tallado nos permite ser conservadores con el diente y conseguir resultados excelentes. Se utilizan en casos en los que queremos cambiar la forma y el tamaño del diente. 

 

CARILLAS DE PORCELANA EN DIENTES INFERIORES

Las carillas en dientes inferiores son un tratamiento eficaz para restaurar los dientes rotos por desgastes.

La estética dental no es sólo una especialidad dental, es una forma de trabajar. En la que los pequeños detalles son importantes en todos los tratamientos.

 

Buscamos tratamientos mínimamente invasivos dónde conservar es siempre nuestro objetivo. Para ello nos ayudamos de las tecnologías que nos ayudan a lograr este objetivo. Apoyándonos de un riguroso diagnostico cómo base de todo tratamiento.

 

Hay tantas sonrisas como personas en el mundo. La misma sonrisa no encaja en todas las caras. Lo mismo pasa en los tratamientos de odontología cada persona va a requerir un tratamiento personalizo y nuestro trabajo es encontrar el ideal para tú caso.

 

¿No te gusta tu sonrisa y estás pensando cambiarla? A continuación, voy a explicar de forma breve los tratamientos de odontología estética más demandados.

TRAMIENTOS EN ESTÉTICA DENTAL

BLANQUEAMIENTO DENTAL

Diseño Digital De la Sonrisa

CARILLAS DENTALES SIN TALLADO

ORTODONCIA INVISIBLE

Versión para imprimir | Mapa del sitio
Centro de Ortodoncia Benamara
Urbanización Benamara, Km 167
29688 Estepona (Málaga)
Teléfono: 952 88 00 14
Movil: 628941822

Llamar

E-mail